Tech

Tech

Intel, Microsoft Plan to Offload Antivirus Scanning to the GPU

Intel, Microsoft Plan to Offload Antivirus Scanning to the GPU
Microsoft has announced it will take advantage of a new security capability Intel has enabled in its integrated GPUs. Normally, antivirus scans run entirely on your CPU. Back in the old days, this process could bring a system to its knees. Single-threaded CPUs would lag badly if you tried to run a significant workload while scanning, and hard drives couldn’t handle the task of scanning system files and running applications at the same time. The advent of SSDs and multi-core CPUs largely solved this problem. But it’s still possible to see some lag in applications when scanning, even on a modern rig.

God of War Might Be the Best-Looking PS4 Game to Date

God of War Might Be the Best-Looking PS4 Game to Date
When the original God of War came out in 2005, it was arguably the most attractive game on the PS2. Thirteen years later, Sony Santa Monica is still capable of blowing us away. This new heartfelt interpretation of God of War on the PS4 stands alongside Uncharted 4 and Horizon as the most visually impressive games on both the vanilla model and the PS4 Pro. After the massive shrug that was 2013’s God of War: Ascension, a complete redesign was absolutely necessary. As such, every aspect of the series has been rethought for this impressive comeback. We’re dealing with a different pantheon, more methodical combat, a close-up camera that never cuts away, and a palette of emotions that actually extends beyond pure rage.

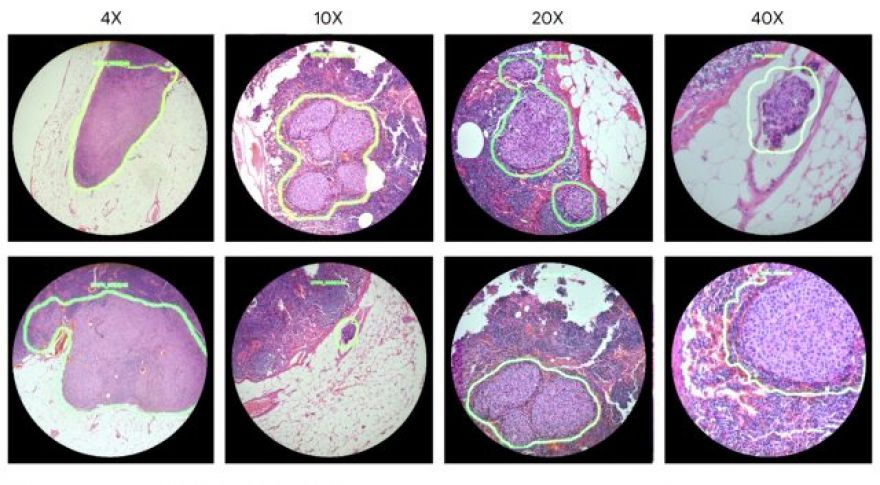
Google Builds Augmented Reality Microscope to Detect Cancer

Google Builds Augmented Reality Microscope to Detect Cancer
Google has used machine learning to solve a lot of problems like and . Those are noble endeavors, but now Google Research has turned its attention to a problem that has a real impact on individual people. The company is working with doctors to develop a neural network that can identify cancer cells using an (ARM). Many aspects of modern medical testing have been automated, but cancer diagnosis is still a time-consuming process. After taking a biopsy of a suspected cancerous mass, a pathologist has to examine the cells under a microscope. Google has shown in the past that a can accelerate diagnosis of cancer in digital images, but most pathologists are using compound light microscopes to examine slides.

Amazon’s Sumerian Project Takes a Huge Bet on AR, VR

Amazon’s Sumerian Project Takes a Huge Bet on AR, VR
Amazon is no stranger to entering new markets — the company, which began as an online store for books, has expanded into just about every market segment and now offers capabilities like cloud compute server farms, smart speakers, and 3D engines. It’s also made a huge bet on AR and VR as future drivers of content authoring, and written an all-in-one development platform called Sumarian that’s meant to make covering both Android and iOS devices simple in the future. Sumerian is platform-agnostic and priced by usage; it’s designed to integrate with other Amazon Web Services. Developers can use its 3D environments to quickly design applications with little need to master code monkeying.

Tesla Model 3 Production Halts Again

Tesla Model 3 Production Halts Again
The Tesla Model 3 is supposed to be a gateway drug of sorts — with a starting price of just $35,000, it makes it easier for Tesla fans to become Tesla owners. Well, as long as they don’t mind waiting a very, very long time. The current wait list to get a base Model 3 is between 12 and 18 months. It might be getting a little longer, too. Tesla has started a temporary Model 3 that will last four or five days. In many ways, the Model 3 is a simpler car than Tesla’s other electric vehicles.

New Graphene Discovery Could Finally Punch the Gas Pedal, Drive Faster CPUs

New Graphene Discovery Could Finally Punch the Gas Pedal, Drive Faster CPUs
Few substances have excited the computer industry as much as graphene. Few substances have proven as maddening and difficult to work with as graphene. The collision of these two facts is why, 14 years after Andre Geim and Konstantin Novoselov characterized and isolated the substance, we’re still waiting to see it used in . A recent breakthrough, however, could finally change that. There are, broadly speaking, two major problems with graphene. The first problem is the difficulty in producing it at scale. The second is its electrical conductivity. The latter might seem like an odd problem, given that graphene’s phenomenal electrical properties are the reason semiconductor manufacturers are interested in it in the first place.

NASA’s New Planet-Hunting Spacecraft Launches on Monday

NASA’s New Planet-Hunting Spacecraft Launches on Monday
NASA could have a new tool to scout for exoplanets this summer. The long-awaited Transiting Exoplanet Survey Satellite (TESS) is set to (a little ) on a mission to survey our galactic neighborhood for exoplanets. The mission isn’t just to spot them a la Kepler, but to gather data that can tell us what those planets are like. If there’s another Earth nearby, TESS could help us find it. The launch is currently scheduled for April 16 aboard a SpaceX Falcon 9 rocket. After reaching orbit, TESS will execute several burns over the course of two months to reach a lunar flyby orbit before settling into a 2:1 resonance orbit with Earth’s natural satellite in a highly elliptical Earth orbit.

Someone Stole My Entire Book (and My Job) and Is Selling It On Amazon

Someone Stole My Entire Book (and My Job) and Is Selling It On Amazon
My entire book was plagiarized on Amazon. I admit that in the grand scheme of things that could go wrong in tech these days, I wasn’t quite expecting this one. It’s all the more surprising because the same distributor handles both books. Last year, our publisher Ziff Davis (ExtremeTech’s parent company) published my first book, . It’s about my favorite old computer lineup of Atari 8-bit machines released from 1979 through the 1980s. We produced both print and Kindle versions; for the former, we went through CreateSpace, an Amazon company that prints and distributes books on demand.

Researchers Steal Data From Air-Gapped Computer Over Power Lines

Researchers Steal Data From Air-Gapped Computer Over Power Lines
No computer system in the world is completely secure, so businesses and governments often keep their most sensitive data in so-called “air-gapped” machines. These computers are not connected to the internet or to any other local devices, making it almost impossible to steal data. It’s almost impossible, but there have been several clever proof-of-concept hacks that can do just that. The most recent comes from researchers at Israel’s Ben Gurion University of the Negev and involves . Like most hacks for air-gapped systems, this technique assumes you’ve had physical access to the computer at some point. The difficult part is not accessing an air-gapped computer, but exfiltrating the data.
Tel. 619-537-8820

Email. This email address is being protected from spambots. You need JavaScript enabled to view it.