Stanford’s Latest AI Helps Doctors Diagnose Brain Aneurysms More Accurately
From to brain aneurysms, artificial intelligence continues to establish itself as a valuable diagnostic tool. Researchers at Stanford University have with high accuracy.
Although relatively rare, present suddenly and have a very short timeframe for treatment before they become fatal. , about 30,000 people in the United States experience this condition per year, 15 percent die on the way to the hospital, and 40 percent of all cases result in fatality. Of the survivors, 66 percent suffer some degree of decreased neurological function. This makes an accurate and early diagnosis the most important factor in preventing brain aneurysm, but that has proven to be a very difficult task for medical professionals.
Researches at Stanford University recognized the difficulty of this problem and created a tool to help solve it. Kristen Yeom, associate professor of radiology and co-senior author of , explains why AI is a vital component in the diagnostic process:
[The] search for an aneurysm is one of the most labor-intensive and critical tasks radiologists undertake. Given inherent challenges of complex neurovascular anatomy and potential fatal outcome of a missed aneurysm, it prompted me to apply advances in computer science and vision to neuroimaging.
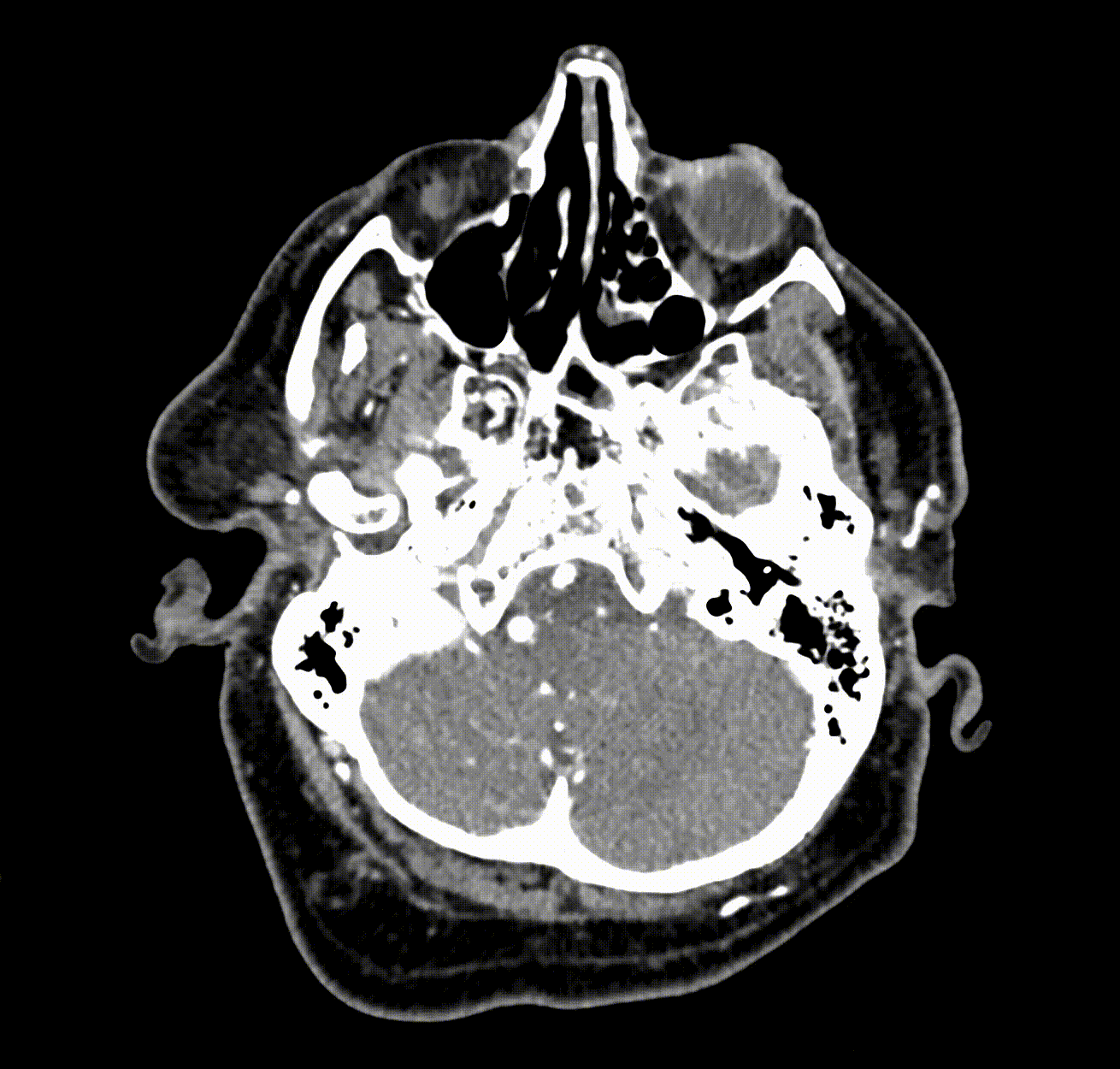
Brain aneurysms present when the wall of an artery in brain balloons up, but the real problems don’t begin until these bulges begin to leak blood or burst. The larger they become, the more difficult treatment becomes if they rupture. While other diagnostic efforts seek to find signs of a disease before it can noticeably manifest, brain aneurysms have a diverse range of origins from drug abuse to cancer to various blood-related issues. The greater problem remains in detecting existing aneurysms in the first place. Before they rupture, brain aneurysms typically do not present any symptoms and removing them requires corrective surgery. This leads to a cautious and thorough diagnostic process, as clinicians do not want to order brain surgery without assurance of its necessity.

Image credit: Allison Park (Stanford)
The complications with the diagnostic process created unique challenges for Yeom and her team when approaching the creation of their AI tool HeadXNet. The importance of avoiding misdiagnosis meant that HeadXNet couldn’t provide excessive influence over a doctor’s decisions. Furthermore, brain scans are full three-dimensional models with much more complexity than the flat images that convolutional neural networks are typically trained to understand. To address these problems, Yeom’s team manually labeled every in the training data to specify whether it contained an aneurysm. After training, HeadXNet only provided its response in the form of an overlay to pinpoint locations in the brain with the highest probability of an aneurysm without providing further influence that could influence a misdiagnosis.
Yeom’s team tested HeadXNet with eight clinicians and 115 brain scans and this small test yielded positive results. By using the tool, clinicians correctly identified more aneurysms and reduced the amount of diagnostic disagreement among them. Even with these promising results, we won’t see HeadXNet as a part of the diagnostic process in the near future. Beyond the need for further development and testing to ensure its safe use in larger populations, current brain scan viewers aren’t designed to integrate with machine learning technologies like HeadXNet. Broad use of this technology requires more data, testing, and development before the general population can benefit from it.
Nevertheless, HeadXNet serves as a significant step forward in the process of solving a . It also demonstrates the greater benefit of using artificial intelligence as a collaborative partner and not a replacement for humans altogether. With the right motivations and implementations, AI has a lot to offer humanity. , we continue to see the results of hoping for the best.
Top image credit:
Now read: